Focus on liver health: Digital technologies for a complex organ
Every year on November 20, German Liver Day reminds us how crucial this organ is for our metabolism, detoxification, and immune system. The liver is one of the most fascinating structures in the human body – not least because of its ability to regenerate and its high functional complexity. A precise view of the organ is crucial for research, diagnostics, and therapy planning. Modern image processing and AI-based analysis methods help to sharpen this view.
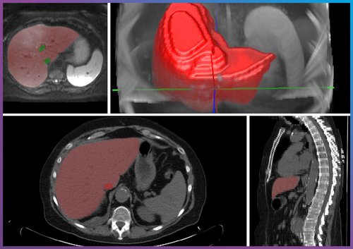
Digital image processing as the key to liver diagnostics

The liver has long been important in medical imaging. For example, it has been used to detect and characterize lesions, assess parenchymal changes, and plan minimally invasive procedures. Although high-resolution CT and MRI data provide a wealth of information, evaluating this data remains challenging. This is precisely where our technological focus comes in.
At Chimaera, we develop solutions that support the entire data-driven analysis process. Our offerings include precise annotations for AI training datasets, automated or semi-automated segmentations, and interactive 3D visualizations that allow clinical teams to intuitively explore complex structures. These tools provide a foundation for more reliable detection and quantification of pathological changes, including fat content determination, tumor segmentation, and volumetric analyses for surgical planning.
AI models for clinical and preclinical questions
We develop AI models based on high-quality annotations that help identify relevant patterns in image data and support clinical decision-making processes. Our focus is on robust algorithms that are developed and validated in accordance with regulatory requirements.
The combination of deep learning, structured data analysis, and interactive visualization allows researchers and clinical teams to use large image datasets more efficiently. This is essential for addressing issues related to liver disease, whether in clinical studies, translational research, or the development of image-based diagnostic tools.
Making health data visible
Our goal is to make complex medical data understandable and usable. This is particularly important for organs such as the liver, where morphological details, fine tissue structures, and functional changes interact closely. We support partners from research, clinics, and industry with customized software solutions that make these relationships visible and provide new insights for patient care.
This might also interest you:



